予防歯科

PREVENTION

予防歯科

虫歯や歯周病の予防には、セルフケアとプロフェッショナルケアが共に必要です。
当院では、宮城県糖尿病療養指導士の認定を受けた歯科衛生士が担当します。
予防歯科では定期的に口腔内をチェックし、セルフケアで清掃しきれない部分をクリーニングすることが大切です。
また、継続的にお口の管理を行うことで虫歯や歯肉の炎症を早めに見つけることが可能となります。

虫歯や歯周病の予防には、セルフケアとプロフェッショナルケアが共に必要です。
当院では、宮城県糖尿病療養指導士の認定を受けた歯科衛生士が担当します。
予防歯科では定期的に口腔内をチェックし、セルフケアで清掃しきれない部分をクリーニングすることが大切です。
また、継続的にお口の管理を行うことで虫歯や歯肉の炎症を早めに見つけることが可能となります。

虫歯・歯周病を防ぐ歯のメンテナンス

プロフェッショナルケア

歯科医院で受ける専門的なケアのことを「プロフェッショナルケア」といいます。歯科衛生士や歯科医師によって行われるケアには、歯石の除去や歯面のクリーニング(PMTC)、磨き残しのチェック、歯ぐきの状態の評価などが含まれます。

毎日のセルフケアでは落としきれない汚れや、見逃しがちな初期のトラブルを早期に発見・対応できることが、プロフェッショナルケアの大きなメリットです。定期的に受けることで、虫歯や歯周病のリスクを大きく減らすことができます。

当院では、定期的なメンテナンス時にGBT(Guided Biofilm Therapy)を導入しています。

GBTとは、エアフロー®などの専用機器を使用して、歯や歯周ポケットからバイオフィルムや歯石を丁寧に除去し、う蝕(虫歯)、歯肉炎、および歯周炎のリスクを軽減する手法です。従来の歯石除去や機械的歯面清掃に比べて、痛みが少なく、歯や歯茎に対する負担も軽減されます。

また、専用のパウダーを使用した後は、研磨は必要なく、自然な歯面性状が維持されます。低刺激のため、小児、矯正中のブラケット周囲、様々な補綴物(銀歯やセラミック等)周囲、インプラント周囲、また、歯肉が退縮して露出した歯根面のバイオフィルム除去にも使用できます。従来の手法より、快適で、短時間で精度の高いメンテナンスが行えます。

① 歯周検査等で、口腔内の状況を確認
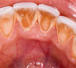
② 染め出しによりバイオフィルムを可視化し、

患者様と口腔内の問題を共有し、必要なアドバイスをさせていただきます。

染め出し前

染め出し後

染め出しをすることでバイオフィルムの存在が明らかになります。
③ エアーフローでバイオフィルム除去

エアフローMAX

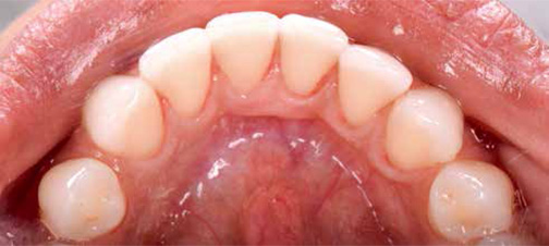
染め出し後

GBT後

結果を保証するものではありません。
写真提供:Courtesy,Celso da Costa

染め出し後

GBT後

結果を保証するものではありません。
写真提供:Courtesy,Dr.Gleb Aseev

④ 専用のチップで残った歯石を除去

エアフロー後

ピエゾン後

写真提供:Courtesy,Prof.Magda Mensi

⑤ 最終確認(隠れていた虫歯の存在も確認)

GBT前

GBT後

結果を保証するものではありません。
写真提供:Beverly Watson

GBT前

う蝕は検出されません

GBT後

う蝕が明らかに

写真提供:Courtesy,Prof.Beverly Watson

⑥ フッ素塗布をし、より良い虫歯予防をします。

セルフケア

虫歯や歯周病を防ぐためには、歯科医院での定期的なケアとあわせて、毎日の「セルフケア」が欠かせません。ご自宅での正しい歯みがきやフロスの使用、生活習慣の見直しが、お口の健康を長く守る第一歩となります。

当院では、毎日の歯みがきが効果的に行えますよう、歯ブラシの当て方、歯間ブラシやデンタルフロス(糸ようじ)などの使用法を、それぞれの患者様に合わせてご説明しております。

また、歯みがき習慣の改善だけでなく、禁煙や食生活などの生活習慣の改善も重要です。

虫歯・歯周病を防ぐ歯のメンテナンス

プロフェッショナルケア

歯科医院で受ける専門的なケアのことを「プロフェッショナルケア」といいます。歯科衛生士や歯科医師によって行われるケアには、歯石の除去や歯面のクリーニング(PMTC)、磨き残しのチェック、歯ぐきの状態の評価などが含まれます。

毎日のセルフケアでは落としきれない汚れや、見逃しがちな初期のトラブルを早期に発見・対応できることが、プロフェッショナルケアの大きなメリットです。定期的に受けることで、虫歯や歯周病のリスクを大きく減らすことができます。

セルフケア

虫歯や歯周病を防ぐためには、歯科医院での定期的なケアとあわせて、毎日の「セルフケア」が欠かせません。ご自宅での正しい歯みがきやフロスの使用、生活習慣の見直しが、お口の健康を長く守る第一歩となります。

当院では、毎日の歯みがきが効果的に行えますよう、歯ブラシの当て方、歯間ブラシやデンタルフロス(糸ようじ)などの使用法を、それぞれの患者様に合わせてご説明しております。

また、歯みがき習慣の改善だけでなく、禁煙や食生活などの生活習慣の改善も重要です。

予防歯科とは

痛くなる前の予防が大切!

これまで歯医者へは「歯が痛くなってから行く」という方が多かったのではないでしょうか?
確かに歯医者では痛みの原因を根本から取り除いてくれますが、少なからず歯の寿命を縮めてしまいます。
歯は一度削ってしまったら、もう元には戻せません。近年は虫歯や歯周病にならないための予防歯科が重視されています。
ずっと健康な歯を保つためにも、虫歯になり治療によるダメージを歯に与える前のケアを心がけることが大切です。

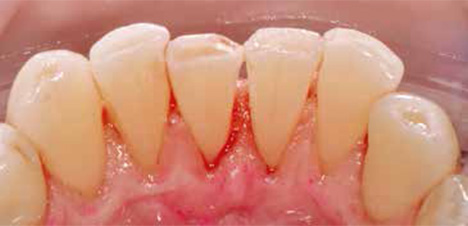
虫歯の原因はバイオフィルム

歯間や歯と歯茎の境目には、歯ブラシでは落とすことの難しい細かな汚れが残っています。
このネバネバした汚れをバイオフィルムといいます。
バイオフィルムには、バイ菌が住みつき、放っておくと虫歯や歯周病、口臭、全身のさまざまな病気の原因となってしまいます。
バイオフィルムが形成されると、抗菌剤やフッ素化合物などの薬剤が歯の表面まで到達しない為、十分な効果が期待されなくなります。

プロによる徹底的なクリーニング「PMTC」

PMTCとは、専用の器具を用いて行うプロによる歯のクリーニングの事です。
毎日のブラッシングで落としきれなかった汚れを完全に除去し、虫歯や歯周病を防ぎます。
どんなに毎日丁寧に磨いていても、歯と歯茎の隙間(歯周ポケット)には歯ブラシが届かない箇所ができてしまうため、磨き残しが出てしまいます。
PMTCを行う事で、自身では取り除けない汚れを除去し口腔内を清潔に保つことができます。

PMTCの手順

STEP1 チェックと歯間の清掃

歯肉にどんな問題があるかチェックし、歯石を取り除きます。
その後、研磨剤と円錐形のゴムチップで歯間を磨いていきます。
歯肉のマッサージ効果も期待できます。

STEP2 クリーニングペーストを塗り研磨

歯の表面、歯の間、歯の付け根の部分にクリーニングペーストを塗り、専用の器具で磨いていきます。
歯の表面と裏側、歯茎の間を研磨し咬み合わせ面の溝もきれいにします。

STEP3 お口の中を洗浄

消毒液を含んだ洗浄液で、お口の中をきれいにして、歯肉ポケット内や歯についた研磨剤をきれいに洗浄します。

STEP4 フッ素を塗布

虫歯や歯周病の予防になるフッ化物を塗り終了です。

定期検診でしっかり予防を行いましょう

今や歯科医療の主流は、「治療」から「予防」になりつつあります。
悪くなってしまったところを治療するのはもちろん大切なのですが、それだけでは「悪くなっては治療し、また悪くなっては治療し」の繰り返しになってしまい、健康な歯がどんどん少なくなってしまいます。
大切なのは「これ以上お口の健康が損なわれないような口腔環境をつくること」なのです。
現在痛みを感じている方はもちろん、そうでない方も定期的にチェックして頂く事をオススメしております。